Using Your Mesothelioma X-Ray to Support a Claim
Mesothelioma X-ray results can support a legal claim for asbestos exposure. If you’ve been exposed to asbestos and diagnosed with mesothelioma, you may be eligible for compensation. Understanding your rights and acting quickly can help cover medical bills, lost wages, and other expenses.
Table of Contents:
Mesothelioma X-Rays and Legal Claims
Hey, ever heard of mesothelioma? It’s a type of cancer linked to asbestos exposure that develops in the body. Catching it early can really change how treatments go. There are three main types: epithelial (most common), mixed, and sarcomatoid. Getting the right diagnosis is key to finding the best way to tackle it.
How X-Ray Results Support Your Case
Imagine those sneaky asbestos fibers, especially crocidolite ones, creeping into the body. They often lurk in places like mining sites, construction zones, and mechanical workspaces. Sadly, it mostly affects dudes—like 60 to 80% of the time. The real kicker? Mesothelioma symptoms usually show up 20 to 35 years after exposure to asbestos.
What do these symptoms look like? Folks might experience things like breathing troubles, nagging chest pain, or pleural effusions (fluid in the chest). For some, scans with FDG PET imaging might even reveal the disease has spread by the time of their diagnosis.
Why Early Detection Is Crucial
Catching mesothelioma early is big. This cancer is fast-paced, so discovering it early means treatment could work better. Early detection might offer more than just treatment success; it can help improve life quality for those diagnosed.
For those who’ve tangled with asbestos in the past, regular health checks can be a lifesaver, helping catch mesothelioma before it takes off. Early diagnosis can help patients and docs be proactive, affecting outcomes for the better.
Getting a grasp on mesothelioma’s development and why catching it early matters is a big part of handling this tricky disease. Staying wise and alert means folks can deal with mesothelioma diagnosis and treatment more smoothly. Think you or someone close to you might have mesothelioma? Don’t wait—get medical advice and talk to specialists for the care you need.
The Role of X-Rays in Detecting Mesothelioma
When diagnosing mesothelioma, X-rays usually get the spotlight as the first checkpoint. Yet, it’s key to grasp what these images bring to the table—and where they fall short—when checking for this sneaky cancer.
What an X-Ray Can Reveal About Mesothelioma
Doctors often turn to X-ray imaging as a starting move in the hunt for malignant pleural mesothelioma and other lung troubles. A chest X-ray doesn’t seal the deal on a mesothelioma diagnosis, but it does clue us into possible red flags that call for closer lookin’.
These X-ray snapshots show two-dimensional peeks inside the body, catching any weird bumps in tissues or bones hinting at mesothelioma. Common finds might include thickened pleural lining, plaques, extra fluid gathering in the pleural space, tumors, and other not-so-friendly growths hanging around the lungs.
Limitations of X-Rays for Accurate Diagnosis
But here’s the kicker, what you see on a chest X-ray isn’t unique to just mesothelioma. Those same telltale signs might point to other conditions like metastatic cancer, lymphoma, or even non-cancerous asbestos issues. So, while X-rays are a solid starting block, on their own, they can’t confirm mesothelioma for sure.
To zero in on a mesothelioma diagnosis or tell it apart from other lung issues, docs often line up a series of follow-up imaging tests such as CT scans, MRIs, and PET scans. These cutting-edge images give us a clearer view inside and help spot the signature traits of mesothelioma.
Guidelines suggest getting on those chest X-rays quickly for folks showing signs of pleural mesothelioma. It’s wise for those at high risk to keep a calendar of regular chest X-ray check-ups, as these can pick up on slowly unfolding changes, offering a shot at catching the disease sooner.
In the world of mesothelioma diagnosis, X-rays set the stage by arming healthcare experts with insights to spring into further action. Paired up with other imaging tools and medical evaluations, X-rays support a thorough review of patients suspected of mesothelioma, steering timely detection and proper handling of this challenging condition.
Using X-Ray Evidence in Your Claim
Learning how to look at a mesothelioma X-ray can make a big difference in catching this cancer early. Spotting the telltale signs on an X-ray means healthcare folks can get on with the right treatment faster. Let’s have a look-see into what pops up with mesothelioma and what sets it apart from other lung troubles.
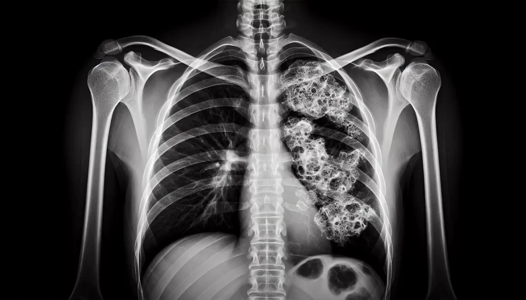
Signs to Look for in a Mesothelioma X-Ray
Mesothelioma X-rays tend to show some weird stuff that hints at this nasty cancer. Here’s what you might spot on one:
- Pleural Effusion: It’s fluid hanging out around the lungs, making things look cloudy on the X-ray.
- Pleural Thickening: When the lung lining gets thicker, it can mean trouble, like mesothelioma.
- Masses (Tumors): Look for strange growths or dense shadows, marking where the bad stuff’s at.
- Pleural Plaques: Those areas of thickened and calcified lung lining scream asbestos exposure.
- Obstructions: Tumors causing blockages that mess with how the lungs work.
It’s worth remembering these aren’t just mesothelioma signals. Other nasties like lung cancer can show up the same way. Often, docs will need to dive into CT scans, MRIs, and maybe even take a piece out for testing to really nail down the mesothelioma diagnosis.
Spotting the Difference: Mesothelioma vs. Other Lung Baddies
Picking out mesothelioma from other lung issues on an X-ray can be a puzzle. Here’s a few clues that might help:
- Where’s the Weird Stuff: Mesothelioma usually messes with the area around the lungs. Other lung problems might mess with the insides.
- Tumor Looks: Mesothelioma lumps spread out and don’t come in neat shapes, unlike lung cancer lumps, which might look more round.
- Treatments: Mesothelioma calls for its own playbook, with surgery, chemo, and radiating planned for each patient’s needs.
Knowing what mesothelioma looks like on X-rays helps healthcare providers suss it out from other lung problems. Getting it right and catching it early can make a huge difference for those facing down mesothelioma.
Additional Documentation for Claims
Diagnosing mesothelioma is a bit like detective work, where advanced imaging takes the place of magnifying glasses and clue boards. Beyond the basic X-rays, we crank up the level with CT scans or MRIs to get the scoop on what’s really going on inside.
When to Use a CT Scan or MRI Instead
When it’s time to get serious and dive deeper, health folks swap out the trusty X-ray for the CT scan or MRI. With a CT scan, you’re getting the whole picture—almost like seeing a 3D model of the problem. It’s especially revealing when you’re trying to pin down the size, shape, and spread of mesothelioma. It’s the difference between peeking through a keyhole and opening the door wide.
MRIs, on the other hand, are like having X-ray vision glasses, great for eyeballing soft tissues. They’re a whiz at spotting how far the tumor’s gone or if it’s giving the neighbor tissues unexpected hugs. Got those X-ray snapshots? This duo goes hand in hand with them, helping piece together the mesothelioma puzzle.
Why a Biopsy Is Necessary for a Confirmed Diagnosis
So, these magic lenses can tell us a lot, but if you want to confirm anything in the detective world, you’ve got to bag the evidence. In mesothelioma’s case, that golden piece of evidence is a biopsy. This step’s non-negotiable—it’s like the DNA test scene in crime shows. A biopsy involves snagging a tiny piece of tissue from the suspect area so your friendly neighborhood pathologist can have a closer gander.
It’s here, under the microscope, that mesothelioma either gets busted or cleared. Tumor cells show their real faces, allowing the doctor to declare, “Aha! It’s mesothelioma!” and work out its specific type. This microscopic peek is crucial because it shapes the treatment plan, customized just for how the mesothelioma’s behaving.
All in all, when figuring out mesothelioma, it’s all about teamwork. Advanced imaging like CT and MRI join forces with biopsy results to give the full lay of the land. This mix brings clarity, assigning a rightful verdict on your health scenario, and leading the way to a tailored treatment approach. It’s about lining up all the solid pieces to support a well-founded diagnosis and help guide you on the best path forward.
Next Steps for Your Legal Claim
Finding out you have mesothelioma can flip your world upside down, setting off a whirlwind of emotions and pressing questions. It’s key to quickly lock down the help and tools you’ll need for what lies ahead. Making informed decisions here can shape your treatment path and legal avenues.
Gathering Records for Legal Support
Straight after the diagnosis, you gotta find a doctor who truly knows this rare cancer. Specialists like oncologists, lung experts, and chest surgeons with a background in mesothelioma can craft tailored plans just for you, tapping into the latest treatment breakthroughs.
Don’t just settle for the first opinion; keep your options open. Talk to several experts to make sure you’re picking the right track for your care. You might also wanna take a peek at the top mesothelioma treatment centers for some pointers on places known for their expertise in this field.
Understanding Your Legal Rights and Filing a Claim
If you’ve got mesothelioma because of asbestos exposure, knowing your legal rights is huge. Since asbestos is often the culprit here, you might have a shot at compensation from those responsible for your exposure at work or elsewhere.
Getting in touch with a seasoned mesothelioma attorney is a smart move. They can walk you through your legal choices and break down the mesothelioma settlement process. They’re there to help you chase the compensation you’re owed for the troubles and pain you’ve been put through.
Filing a claim can cover medical bills, lost earnings, and other costs. This process not only helps you cope financially but also holds those who exposed you to asbestos accountable, freeing you up to focus on getting better. If mesothelioma is now part of your story, it’s crucial to be proactive about your legal rights to safeguard your future.
Get What You Deserve for Mesothelioma
You’ve found yourself dealing with mesothelioma, and it’s a lot to handle. The idea of making a claim might feel overwhelming, especially when trying to recover and sort through the chaos this disease brings. Having a seasoned mesothelioma lawyer on your side can make all the difference. They can help cut through the red tape and fight for the compensation rightfully owed to you.
Why You Need a Savvy Mesothelioma Lawyer
A savvy mesothelioma lawyer knows the drill when it comes to these cases and all the steps needed to get that compensation settled. By having a knowledgeable professional on your team, you’re setting the stage for success with:
- Getting the Lowdown: They’ll dig into the details of your case—your medical records, your history with asbestos—to see if you have a solid claim and how much moolah you could score.
- Speaking Up for You: Your lawyer will handle all the legal ins and outs, chat with insurance folks, and make sure your rights aren’t being tossed aside throughout the whole shebang.
- Haggling for a Fair Deal: Count on a good lawyer to haggle on your behalf for a settlement that covers all the medical bills, missed paychecks, suffering, and other headaches that come with mesothelioma.
- Fighting the Good Fight: If your case heads to court, your lawyer will be your champion, laying out the evidence and arguments to win you that case.
Hooking up with a seasoned mesothelioma lawyer ensures your rights are front and center, giving you the best shot at snagging the compensation you’re due.
Kick Off Your Mesothelioma Claim Now
If mesothelioma is in the picture for you or a loved one, there’s no time to waste in getting the ball rolling on your claim. Time constraints, called the mesothelioma statute of limitations, put a ticking clock on when you can take legal action, so don’t delay.
By chatting with a reliable mesothelioma lawyer, you can start working towards compensation for all the pain, distress, and money woes this disease creates. Your lawyer will walk you through every step, offering guidance and taking care of the legwork to make sure your claim gets the care and focus it demands.
Reach out to a top-notch mesothelioma lawyer today and take that first step towards getting the compensation and justice you deserve.









